Klippel-Trenaunay Syndrome
(クリッペル - トレノニー症候群)
クリッペル- トレノニー症候群 は、1900年にフランスの神経内科医のMaurice Klippel [1858-1942]とその弟子であるPaul Trenaunay [1875- ]が報告した症候群で、その三兆候は、ポートワイン・ステイン(port wine stain、つまり皮膚の毛細血管奇形)、静脈・リンパ管の異常(静脈瘤を含む)、一肢の骨・軟部組織の肥大です.1907年にFrederick Parkes Weberが同じような患者で、かつ動静脈奇形arteriovenous malformationのある患者を報告しました.そのため、後者をParkes Weber症候群ともいいます.従って、 クリッペル- トレノニー症候群 とParkes Weber症候群は、下肢の肥大は共通しますが、全く別の疾患と考えるべきです.また、クリッペル- トレノニー症候群 は、静脈・リンパ系の形成異常が本体なので、大人の下肢に起こる静脈瘤と同じ様に考えるのは大きな間違いです.Klippel-Trenaunay-Weber症候群やKlippel-Weber症候群などとも言われますが、混乱を招くだけで、このような病名は、使うべきではないでしょう.肥大ではなく小さいことも稀にあり、逆KTS、つまりinverse Klippel-Trenaunay syndromeと言われることもあります.中には、広範囲の静脈性血管奇形 venous malformationが、一肢に認められることがあり、これらもKlippel-Trenaunay症候群と呼ばれますが、別疾患と考えたほうがいいでしょう.半身肥大症 hemihypertrophyでは、腎臓腫瘍 Wilms tumorの合併が知られていますが、Klippel-Trenaunay syndromeでは、その合併はなく、通常、腹部エコーでの観察は不要とされています.
その原因については、諸説ありますが、よく分かっていません.男女差はなく、出生時やかなりの早期に認められます.下肢の一肢に病変が認められることが多いのですが、上肢の場合や多肢にわたる事もあります.人種による発生に差はなく、男女の差もありませんが、病側の左右では、右の方が多いとも言われています.
上記の三兆候が認められることは、6割ぐらいで、二兆候の場合もあります.ポートワイン・ステイン(port wine stain)は、多くの症例で認められます.
血管腫やポートワインステインが認められることが多く、後者は、自然消退することはありません.静脈の形成異常、静脈瘤、深部静脈の形成不全・閉塞・血栓症なども認められます.肺梗塞の合併症を起こすことがあります.リンパ系の異常を伴うことも多く、リンパ浮腫や感染を起こすことがあります.病変が大きい場合には、凝固系の異常・出血傾向などを呈することもあります.皮膚炎・皮膚潰瘍・蜂窩織炎・静脈炎・静脈石・骨や関節異常・側湾症なども認められます.消化管出血も小腸の病変から起こることがあります.発熱や急に状態が悪化した場合、特に凝固系の異常や低血圧があると、グラム陰性菌の感染や腹部の膿瘍なども鑑別に入れる必要があります.
痛みや浮腫を伴うことがあり、妊娠を契機に症状が悪化することがあります.一肢の肥大は、出生時にすでに認められることもありますが、一歳までには明らかになることが多いです.
治療として、弾性包帯、ストッキングを使った圧迫治療が行われることがあります.しかし、静脈異常がある場合にかえって症状を悪化させる場合もあります.感染があるときには、抗生物質の投与が行われます.血栓症予防に対してアスピリンを投与することがあります.血栓症が起こるとワーファリンでの抗凝固治療を行うこともあります.下肢の長さの違いが1.5cm以下の場合には、ヒールパッドを用います.それ以上になると、外科的治療が必要になる場合があります.ポートワインステインに対するレーザー治療は有効とされています.
静脈系の異常に対する外科的治療には、いろいろあり、治療によりかえって症状を悪化させることも考えられます.肥大のボリュームを減らすような手術もありますが、これも浮腫などをかえって悪化させる可能性があるので、多くの場合、外科的治療の適応はないとされます.ボリュームを減らす治療も、瘢痕化したりして、かえって症状の悪化をみることがあり御奨めできません.硬化療法も、細胞に対して毒性を発揮して治療効果を出す硬化剤が、直接、静脈系、つまり体循環に入り、血圧低下やショック等を起こす可能性や、正常な静脈血流の帰り道を閉塞することにより、反って症状の悪化を来すこともあります.
この疾患の患者さんの御両親に、さらに次のお子さんが出来た場合、同じ疾患がそのお子さんにも現れる可能性は殆どないと考えられます.また、この疾患の患者さんにお子さんが出来た場合、同じ疾患が現れる可能性も殆どないと考えられます.
古典的な病名であるKlippel-Trenaunay症候群を使えば、分かりやすい点もありますが、各患者さんの病変の構築・症状等は一様でなく、別ページにあるISSVAの分類で考える方がより理にかなっています.つまり毛細血管(C)、静脈(V)、リンパ管(L)、動脈(A)のどの成分が主体かで考え、一様にKlippel-Trenaunay症候群で片付けない様にします.
指・趾の奇形の合併
Klippel-Trenaunay 症候群に指・趾の奇形の合併が知られています.McGroryらが1991年にメイヨークリニックで、1956年から1990年の間に経験した三兆候全てが揃ったKlippel-Trenaunay syndromeの108例の報告をしています.29人の患者さんに、合計126の奇形が認められました.つまりKlippel-Trenaunay 症候群の(29/126=) 23%の患者さんに指・趾の奇形の合併が認められました.Klippel-Trenaunay 症候群に指・趾の奇形が合併したというより、症候群の症状の一つとして捉えることが可能です.79人には、指・趾の奇形はありませんでした.一人に、1つから13個の奇形がありました.男女比は、女性が約2倍ありました.(指・趾の奇形の合併ない場合の男女比は、1:1でした).その内訳ですが、26人が巨指・趾症 macrodactyly(論文からの画像を転載します)、9人が合指・趾症 syndactyly、2人が多指・趾症polydactyly、2人が斜指・趾症clinodactyly、 5人が第1中足骨内反metatarsus primus varus、 一人がバネ指trigger finger でした.これらの奇形は、出生時またはその直後に出現していました.また巨指・趾症に神経繊維腫や動静脈瘻の合併はありませんでした.

画像は論文からで、出生時から認めれたKlippel-Trenaunay syndromeの7歳男児のものです.左下肢の肥大とbirth markがあり、右足の第2,3巨趾症と左足の第2巨趾症があり、左足の第1中足骨内反も認められます.
このKlippel-Trenaunay症候群 (KTS) 以外にも 、一側の下肢が太くなる場合があります.
その一つに、KTSと同じ様に静脈系の異常ですが、筋肉に限局した静脈性血管奇形やリンパ浮腫(一次性または先天性リンパ浮腫)があります.
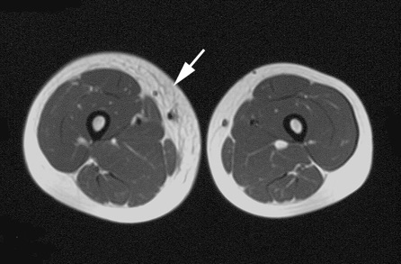
MR検査を行なうと、病変がより正確に分かりますが、その診断には、経験を必要とします.下の画像は、反対側の正常下肢と比較すると分かり易いです.

矢印はKTSの患者さんの右下腿、皮下脂肪層に静脈・リンパ系の異常が認められます.

矢印は、静脈性血管奇形の患者さんの右大腿部、筋肉内に病変があります.

矢印はリンパ浮腫の患者さんの右大腿部、皮下脂肪層にリンパ系の拡張が認められます.
脊髄の動静脈奇形の合併
Klippel-Trenaunay症候群に脊髄の動静脈奇形が合併した報告が少ないがあります.2007年の段階で、23例の合併症例(男性13、女性10人、平均年齢26.7歳)の報告がありました.Klippel-Trenaunay症候群に対して脊髄の動静脈奇形がのscreeningの必要性やその多発症例の存在にも注意が必要とされました [Rohany 2007].しかし2010年のreviewでは、それまで報告された31症例のどれもKlippel-Trenaunay症候群と診断する根拠がなく、誤診であり、31例中9例でCLOVES syndromeやCM-AVMの合併が示唆されたとされました [Alomari 2010].静脈・リンパ管系の形成異常であるKlippel-Trenaunay症候群に動静脈奇形である脊髄の動静脈奇形は合併しないとしています.
Vascular Bone Syndrome (血管-骨 症候群)
静脈性血管奇形(脳以外)
参考文献
Klippel M, Trenaunay P: Du naevus variqueux osteohypertrophique. Arch Gen Med 185: 641-672,1900
Jacob AG, Driscoll DJ, Shaughnessy WJ, et al: Klippel-Trenaunay syndrome: spectrum and management. Mayo Clin Proc 73: 28-36, 1998
McGrory BJ, Amadio PC, Dobyns J, et al: Anomalies of the fingers and toes associated with Klippel-Trenaunay syndrome. JBJS 73A:1537-1546,1991
Rohany M, Shaibani A, Arafat O, et al: Spinal arteriovenous malformations associated with Klippel-Trenaunay-Weber syndrome: a literature search and report of two cases. AJNR 28: 584-589, 2007
Alomari AI, Orbach DB, Mullilen JB, et al: Klippel-Trenaunay syndrome and spinal arteriovenous malformation: an erroneous association. AJNR 31:1608-1612, 2010
2004.3.14記、2008.1.30、8.26、2009.7.15、2016.5.9、2016.7.12 、7.21、7.29、2018.1 30 追記